Tags #Campanha
Tag: #Campanha
Evento alusivo ao Outubro Rosa é realizado no bairro Siderúrgico
No domingo, 23/10, a AMBAS (Associação de Moradores do Bairro Siderúrgico) realizou o evento alusivo à campanha Outubro Rosa que visa a conscientização sobre...
Família consegue arrecadar valor e jovem que morreu no dia do...
Pouco depois da divulgação da campanha, a família da jovem Natiele de Matos Muniz que faleceu no dia do aniversário, conseguiu o valor para...
Família e amigos mobilizam campanha para custear funeral de jovem que...
A morte prematura da jovem Natiele de Matos Muniz, de 25 anos que residia em Congonhas comoveu amigos e familiares nas redes sociais. Natiele...
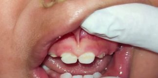
Mãe pede ajuda para filho com problemas na formação dos dentes
Uma campanha está sendo realizada em prol de um garotinho de Congonhas que tem má formação nos dentes. Por problemas durante o período de...
Zema e Marcelo Aro fazem campanha em Lafaiete
Candidato à reeleição, o governador Romeu Zema (Novo) cumpriu agenda de campanha em Conselheiro Lafaiete na tarde da quarta-feira, 21/09. Ele esteve na cidade...
Torre da Basílica do Sagrado Coração de Jesus passará por reforma
A torre da Basílica do Sagrado Coração de Jesus em Conselheiro Lafaiete passará por reforma. Nos últimos meses houve a queda de parte do...
Família faz vaquinha para pagar velório de jovem que morreu em...
Familiares de Thais Ribeiro estão realizando uma vaquinha para custear as despesas do translado do corpo da jovem e do velório. A jovem de...
Família de venezuelano que foi atropelado na região faz campanha para...
Uma família de venezuelanos está vivendo um verdadeiro drama e espera contar com a ajuda da comunidade. Gabriel Alejandro que completa 29 anos neste...
Basílica do Sagrado Coração de Jesus encerra campanha do agasalho e...
A Basílica do Sagrado Coração de Jesus em Conselheiro Lafaiete comunicou que encerrou nesta semana a campanha de arrecadação de agasalhos e cobertores. O...
Basílica de Lafaiete lança campanha para arrecadar agasalhos e cobertores em...
Em decorrência da onda de frio que está atingindo o estado de Minas Gerais e consequentemente a cidade de Conselheiro Lafaiete, a Basílica do...























